ISUOG/LinkedIn
Mar 26, 2026, 05:50
How AI Reveals Hidden Struggles in the Developing Fetal Brain – ISUOG
ISUOG International Society of Ultrasound in Obstetrics and Gynecology shared a post on LinkedIn:
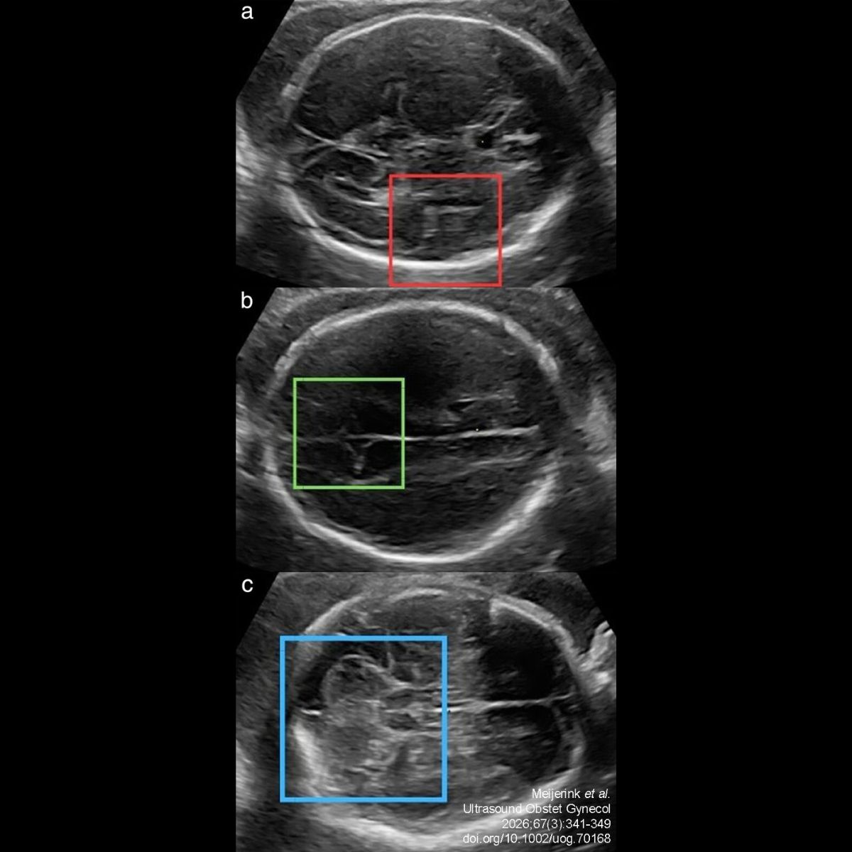
“In a new openaccess study, Meijerink et al. demonstrate delayed fetal brain maturation in early-onset fetal growth restriction using a 3D ultrasound deep-learning model, demonstrating the potential role of these models in future neurodevelopmental assessment.
Read the UOGJournal article here.”
Title:Deep learning assessment of fetal brain maturation on 3D ultrasound volumes in early-onset fetal growth restriction
Authors:L. Meijerink, M. Wyburd, A. I. L. Namburete, T. Alderliesten, F. Groenendaal, M. Benders, F. Terstappen, M. N. Bekker

Stay updated on all scientific advances in the field of fertility with Fertility News.
-
May 16, 2026, 12:31New PGDIS Report on PGT-A and IVF Embryo Selection – RBMO
-
May 16, 2026, 12:25ESHRE Opens Stakeholder Review for New Good Practice Recommendations on Expanded Carrier Screening
-
May 16, 2026, 12:21Stair-Step Protocol for PCOS Patients Who Do Not Respond to Clomid – Fertility Plus
-
May 16, 2026, 11:08Madhur Hamine: IVF Communication Should Focus on Outcome Transparency, Not Promotional Metrics
-
May 16, 2026, 10:58Sean Tipton Reacts to Administration’s Announcement on Fertility Treatment Insurance Coverage – ASRM
-
May 16, 2026, 10:46Fertility, Family Planning, and Lupus Care Highlighted on World Lupus Day – Lupus Europe
-
May 16, 2026, 10:13ESHRE Workshop Focuses on Reducing Unnecessary Hysterectomy and Improving Patient Care
-
May 16, 2026, 10:08Ovulation Happens Naturally, The Power of the LH Surge – Fertility Plus
-
May 16, 2026, 09:31AI-Supported Fertility Treatment – Healthcare Diplomacy Medical Assistance Services
