Reem Prince: Case Highlight for Müllerian Duct Anomaly
Reem Prince, Radiology consultant at TechnoScan, shared a post on LinkedIn:
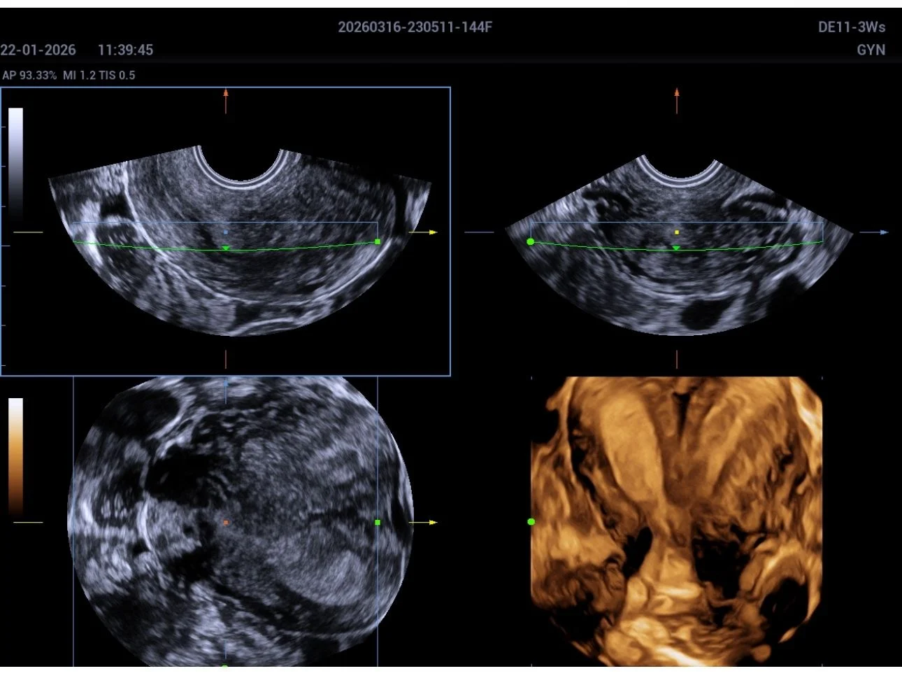
“Case Highlight: Müllerian Duct Anomaly
A 3D transvaginal ultrasound examination revealed a congenital uterine anomaly consistent with a bicornuate uterus with features suggestive of uterus didelphys.
Key Imaging Findings:
- Two well-defined uterine cavities with fundal indentation
- Partial to near-complete duplication of the uterine horns
- External fundal cleft supporting a bicornuate configuration
- Suspicion of duplication extending toward the cervix (differential with uterus didelphys)
Discussion:
Differentiating between bicornuate uterus and uterus didelphys can sometimes be challenging, even with advanced imaging.
3D transvaginal ultrasound plays a crucial role in accurately assessing the external fundal contour and cavity configuration.
Clinical Importance:
Such anomalies are associated with:
- Recurrent pregnancy loss
- Preterm labor
- Malpresentation
Further evaluation (e.g., MRI) may be recommended for definitive classification when needed.”
Stay updated on all scientific advances in the field of fertility with Fertility News.
-
May 16, 2026, 12:31New PGDIS Report on PGT-A and IVF Embryo Selection – RBMO
-
May 16, 2026, 12:25ESHRE Opens Stakeholder Review for New Good Practice Recommendations on Expanded Carrier Screening
-
May 16, 2026, 12:21Stair-Step Protocol for PCOS Patients Who Do Not Respond to Clomid – Fertility Plus
-
May 16, 2026, 11:08Madhur Hamine: IVF Communication Should Focus on Outcome Transparency, Not Promotional Metrics
-
May 16, 2026, 10:58Sean Tipton Reacts to Administration’s Announcement on Fertility Treatment Insurance Coverage – ASRM
-
May 16, 2026, 10:46Fertility, Family Planning, and Lupus Care Highlighted on World Lupus Day – Lupus Europe
-
May 16, 2026, 10:13ESHRE Workshop Focuses on Reducing Unnecessary Hysterectomy and Improving Patient Care
-
May 16, 2026, 10:08Ovulation Happens Naturally, The Power of the LH Surge – Fertility Plus
-
May 16, 2026, 09:31AI-Supported Fertility Treatment – Healthcare Diplomacy Medical Assistance Services
