Mathew Leonardi: Why Endometriosis Is Often Missed?
Dr. Mathew Leonardi, Associate Professor at McMaster University, shared a post on LinkedIn:
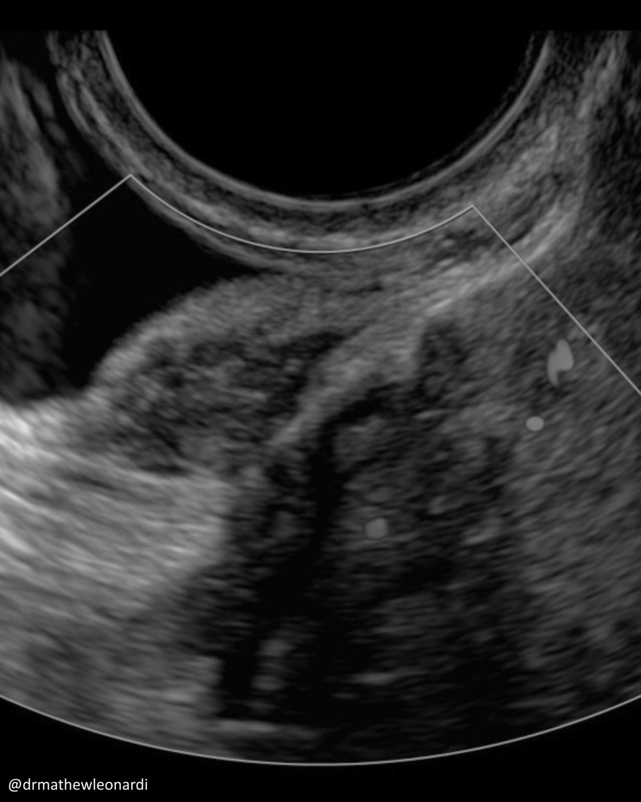
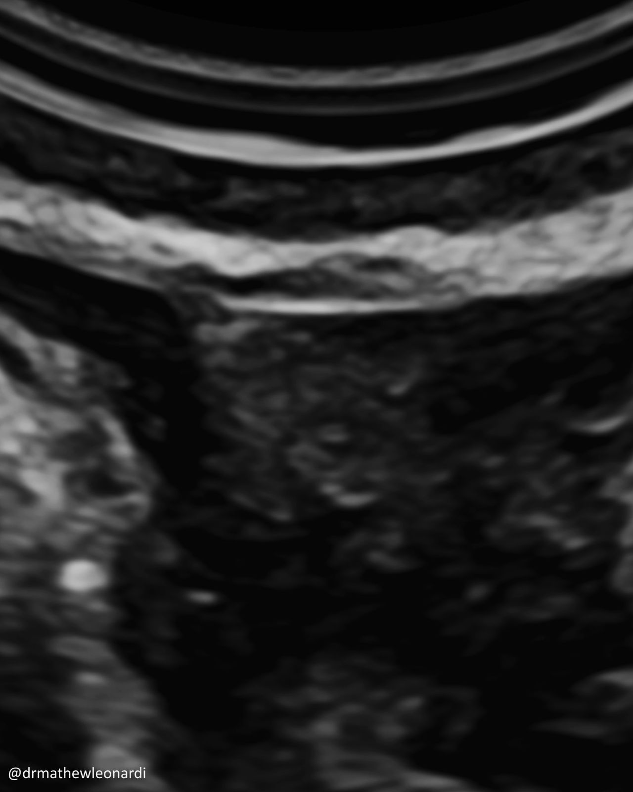
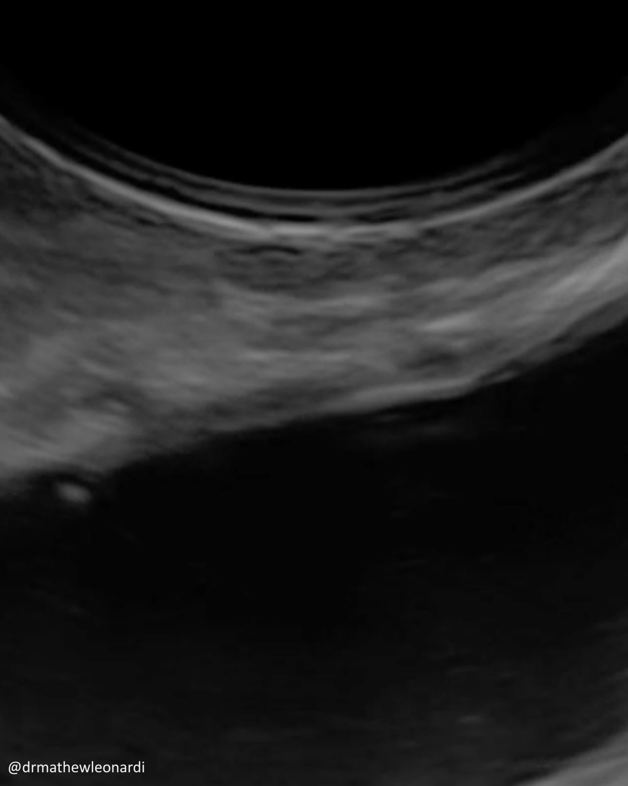
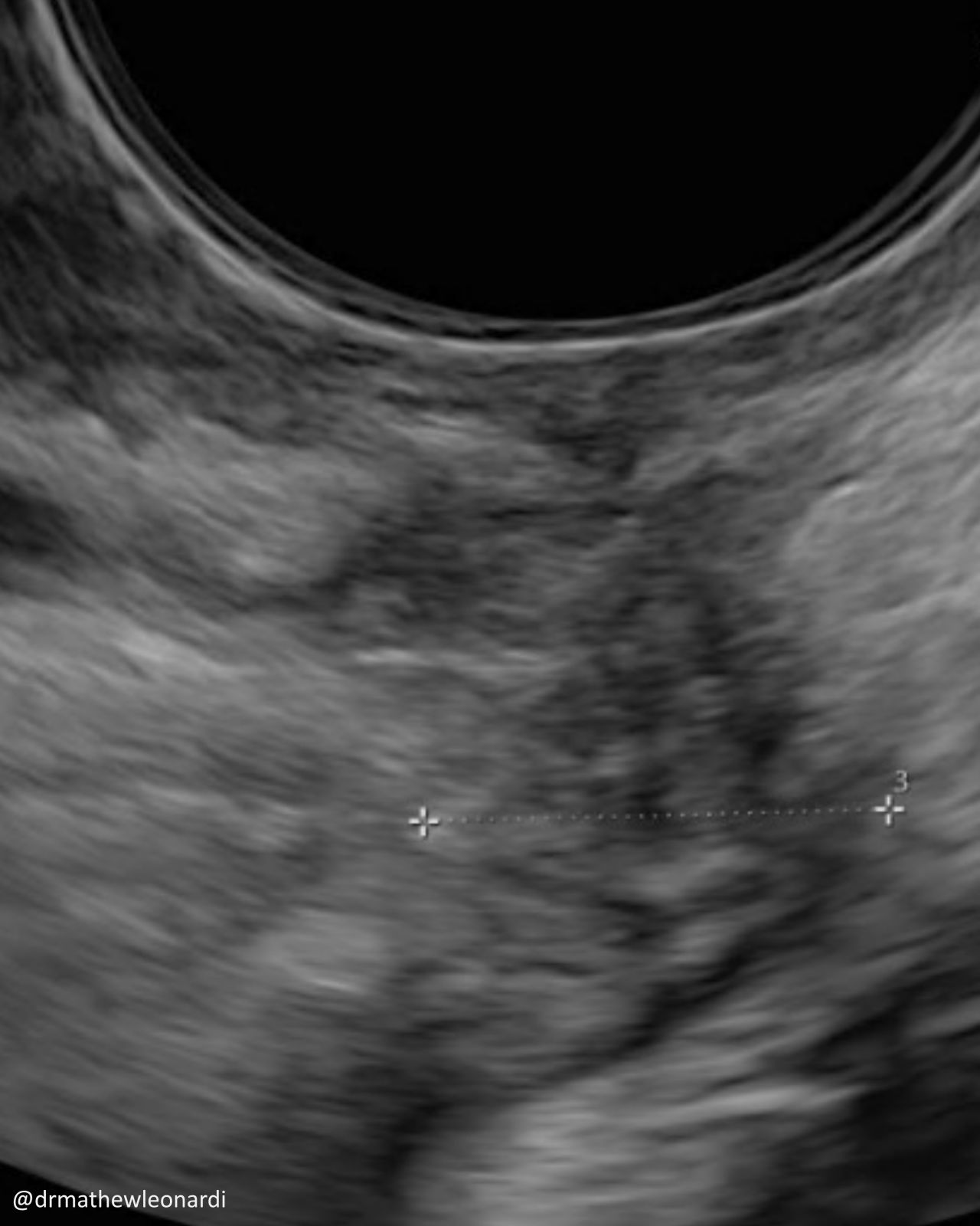
“Endometriosis does not have one single appearance, and that is part of why it is so often missed.
In this carousel, I’ve included a range of endometriosis lesions across different disease types and locations, including superficial disease, ovarian disease, and deep endometriosis involving areas such as the bowel, bladder, uterosacral ligaments, peritoneum, vagina, and ovary. A few are deliberately difficult because real-life recognition is not always straightforward.
As you go through the images, pause on each one and ask yourself:
What am I looking at?
What features make this location or lesion type recognizable?
What would make this easy to miss?
The final slide has the answers.
I’d love to know which image was hardest for you, or what area you are still trying to get better at identifying, whether that is ultrasound, surgery, anatomy, or lesion patterns.
If this kind of teaching is useful, save the post so you can come back to it, and share it with someone else learning endometriosis imaging or surgery. Comments, saves, and shares also help this reach more people who are trying to build real pattern recognition.”

Stay updated on all scientific advances in the field of fertility with Fertility News.
-
May 14, 2026, 17:13Ribociclib Plus Letrozole in Recurrent Low-Grade Serous Carcinoma of the Ovary – IJGC
-
May 14, 2026, 17:11Christopher Robinson: Isolated Severe Systolic Hypertension During Delivery Admission and Maternal Outcomes
-
May 14, 2026, 17:08Ally Murji: Honoured to Deliver the 51st Annual RT Weaver Lecture at McMaster University
-
May 14, 2026, 17:00Your Hair Dye Could Be Affecting Your Fertility – Fertility Plus
-
May 14, 2026, 16:53Devora Lieberman on Reduced-Tip Needle Design and Its Role in Egg Collection for Older Women – City Fertility
-
May 14, 2026, 16:48AI Can Watch Your IVF Embryo Grow and Predict If It’s Chromosomally Normal, Without Any Biopsy – Fertility Plus
-
May 14, 2026, 12:04Asma Khalil: Why Twin Pregnancies Need More Than Routine Monitoring?
-
May 14, 2026, 12:01Marco Zaccaria: Why Distension Media Selection Matters in Modern Hysteroscopy
-
May 14, 2026, 11:58Mathew Leonardi: PCOS Has Been Renamed to PMOS and It Changes How We Understand the Disease
