Oct 16, 2025, 12:51
Hadeel Aljameel: Case Report – Uterine Polyp
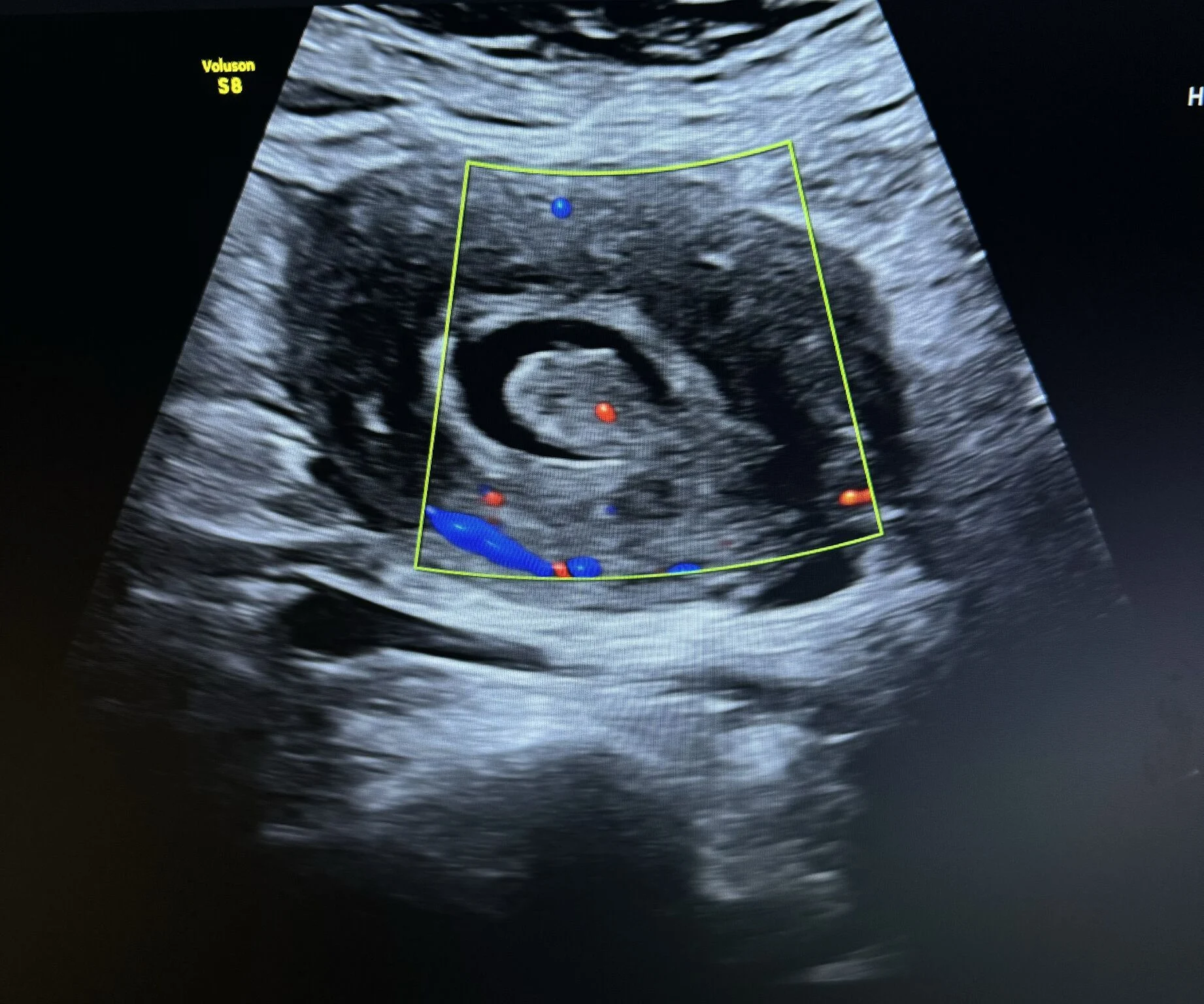
Hadeel Aljameel, Radiological technologist at Dr. Sulaiman Al Habib Medical Group, shared a post on LinkedIn:
“Case Report: Uterine Polyp
A female patient presented to the clinic with complaints of abnormal uterine bleeding.
Ultrasound examination revealed a large endometrial polyp with notable vascular flow on color Doppler.
Endometrial polyps are benign overgrowths of the endometrial tissue that can vary in size and may cause symptoms such as:
- Irregular bleeding
- Spotting
- Infertility
The patient was advised to undergo further evaluation and appropriate management to prevent possible recurrence or complications.
Ultrasound Appearance
On ultrasound, an endometrial polyp typically appears as a:
- Well-defined echogenic mass within the endometrial cavity
- Homogeneous texture
- Single central feeding vessel on color Doppler — a key feature distinguishing it from fibroids
Additional features:
- May appear as focal thickening or an oval-shaped lesion
- When using Saline Infusion Sonohysterography (SIS), the polyp can be clearly visualized moving freely within the fluid-filled cavity
Ultrasound technologist:
Hadeel Aljameel”

-
Oct 11, 2025, 06:44The Global IVF Market Is Set to Reach $65B by 2032 – Meddilink
-
Dec 14, 2025, 06:53New Data on Assisted Hatching in Assisted Reproduction – C.L.A.R. Consulting
-
Dec 14, 2025, 04:40Murat Levent Dereli: Monochorionic-Monoamniotic Twin with Aberrant Vascular Anastomosis
-
Dec 14, 2025, 04:18Impact of Basic Income on Health – The Center for Social Development at Washington University in St. Louis
-
Dec 14, 2025, 04:14Immune Regulation Insights from RaFJC Conference – Reproduction and Fertility
-
Dec 14, 2025, 04:07Jacques Maas: Transformative Strategies for Endometriosis and Adenomyosis
-
Dec 14, 2025, 04:04Caroline Ford: Reflects on a Journey in Gynaecological Cancer
-
Dec 14, 2025, 04:00Economic Impact of Endometriosis in New Zealand Revealed – Endometriosis New Zealand
-
Dec 14, 2025, 03:57Lone Hummelshoj: Exploring Experimental Models in Endometriosis and Adenomyosis
-
Dec 13, 2025, 04:22Placenta-Targeted Nanoparticles: A New Frontier in Recurrent Pregnancy Loss – Reproduction and Fertility
