Marco Zaccaria: Internal Cervical Os Stiffness as Key Marker in Adenomyosis
Marco Zaccaria, Global Product Manager at ESGE European Society Gynecology Endoscopy, shared a post on LinkedIn:
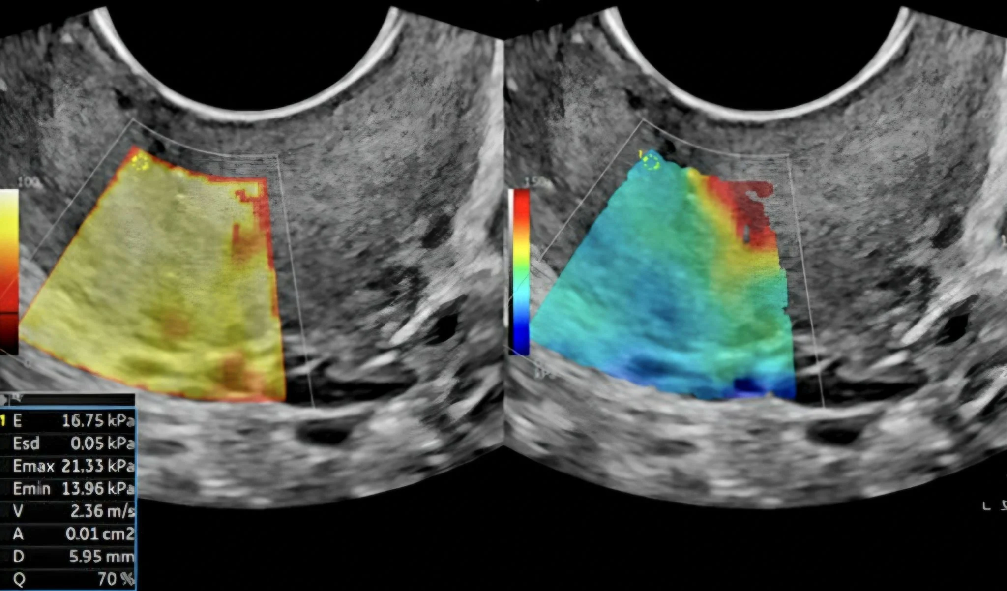
“What is the difference between patients with adenomyosis and healthy patients in terms of tissue consistency in the cervical region.
A very recent study conducted by Ufuk Üniversitesi in Ankara and Etilik City Hospital examines elastosonographic parameters in six different zones:
- Anterior External Os
- Anterior Mid-Cervical Region
- Anterior Internal Os
- Posterior External Os
- Posterior Mid-Cervical Region
- Posterior Internal Os
SWE (Shear-Wear Elastography) showed higher stiffness measurements for the anterior and posterior internal os compared with the controls.
The stiffness of the internal cervical os (ICO) appears to be the most significant parameter, and women with adenomyosis have a significantly stiffer internal os than those without the condition
Cervical elastography may serve as a non-invasive adjunctive tool for exploring disease-related biomechanical changes
Below is the full study.”

Stay updated on all scientific advances in the field of fertility with Fertility News.
-
Mar 30, 2026, 14:40The Feasibility of Hyperspectral Endometrial Analysis as a Less Invasive Technique – Fertility and Sterility
-
Mar 30, 2026, 14:19Robert Brown: Prophylactic Pharmacotherpy to Reduce the Risk of Postpartum Hemorrhage
-
Mar 30, 2026, 14:08Hanna Surmann: I Presented My Work on tRNA-Derived Fragments in Endometriosis at the SRI
-
Mar 30, 2026, 12:50Simvastatin as a Potential Breakthrough Therapy – Reed Biotech LTD
-
Mar 30, 2026, 12:39The “Defective” Embryo That Could Be Your Baby – Fertility Plus
-
Mar 30, 2026, 12:21Danilo Cimadomo: Moving From Single-Cycle IVF to a Multicycle Strategy
-
Mar 30, 2026, 12:10Kenji Ezoe: Can Prolactin Improve Embyo Transfer Outcomes?
-
Mar 30, 2026, 11:38What Happens When Cancer and Pregnancy Intersect? – FIGO
-
Mar 30, 2026, 11:24Clinical Implications of Physiological and Pharmacological Changes in Pregnant Women – SFAR
